Nouvelle procédure chirurgicale en cas de tendinopathies chroniques chez le cheval et le chien
Les tendinopathies sont un problème fréquent chez le cheval et le chien et elles peuvent avoir un impact important sur les performances et le bien-être de l’animal. Le vétérinaire joue un rôle important dans le diagnostic et le traitement des tendinopathies. Il est capital qu’il ait une bonne connaissance de l’anatomie et des différents types de tendinopathies qui peuvent exister. En outre, il est important d’être informé des dernières évolutions dans le domaine du traitement et de la revalidation des tendinopathies afin de pouvoir offrir les meilleurs soins possibles au patient. Cet article abordera quelques aspects des tendinopathies chez le cheval et le chien et se concentrera sur une nouvelle technique dans le traitement des tendinopathies chroniques.
Les différents types de tendinopathies
Les tendinopathies peuvent être classées en différentes catégories parmi lesquelles notamment les tendinopathies aigües et chroniques.
Les tendinopathies aigües comprennent par exemple les élongations tendineuses entrainant inflammation ([péri-]tendinite) et tuméfaction. Celles-ci peuvent guérir sans dommage persistant ou évoluer vers une déchirure tendineuse lorsque des ruptures focales de faisceaux de fibres tendineuses se produisent. Ces lésions résultent souvent d’une contrainte excessive sur un tendon, lequel finit par se fatiguer intrinsèquement puis par se déchirer. Dans de nombreux cas, ceci est associé à un traumatisme aigu, comme une chute, une course trop vive, etc.
Les tendinopathies chroniques présentent souvent des foyers dégénératifs et sont dues à une contrainte excessive répétitive au niveau d’une zone pathologique du tendon (tendinose). En cas de tendinose, le foyer pathologique contient différents types de tissus, comme du tissu fibreux, fibrocartilagineux, hyalin et/ou osseux. Ces foyers ne contribuent pas à la fonction élastique d’un tendon sain et peuvent être très douloureux. Ils agissent à la manière d’un « caillou dans une chaussure » : ils sont constamment douloureux et induisent aussi de nouveaux foyers inflammatoires.
Chez le cheval, les tendons fréquemment sujets au développement de foyers dégénératifs sont par exemple le suspenseur du boulet et le tendon fléchisseur profond (photos 1 et 2). Chez le chien, le tendon d’Achille (ou corde du jarret) (photo 3) et le fléchisseur ulnaire du carpe (photo 6) sont parfois sujets à une pathologie chronique.
Procédure Tenex chez un cheval debout : à l’aide d’un débridement tissulaire par ultrasons sous échoguidage, on procède à l’élimination du tissu dégénératif chez ce cheval présentant une lésion dégénérative chronique du suspenseur du boulet.
LE DIAGNOSTIC
Depuis 30 à 40 ans déjà, le diagnostic des tendinopathies s’effectue à l’aide d’une échographie. Cette technique diagnostique convient très bien pour les zones où les tendons sont superficiels. Pour les structures plus profondes telles que l’insertion proximale du suspenseur du boulet et le tendon fléchisseur profond dans le pied chez le cheval, l’IRM est la technique de choix pour bien visualiser les lésions et les foyers dégénératifs. Par sa richesse de contraste, l’IRM révèle également les zones actives dans le tendon.
Procédure Tenex chez un cheval sous anesthésie générale : à l’aide d’un débridement tissulaire par ultrasons sous échoguidage, on procède à l’élimination du tissu dégénératif chez ce cheval présentant une lésion dégénérative chronique du suspenseur du boulet.
LES POSSIBILITÉS DE TRAITEMENT EN CAS DE TENDINOPATHIES
Le traitement des tendinopathies évolue depuis des décennies et a pour objectif d’essayer d’optimiser la qualité du tissu cicatriciel afin d’éviter toute rechute/récidive. En cas d’élongations, une intervention précise à base d’AINS, d’un refroidissement intensif et d’une revalidation est primordiale pour éviter que l’élongation évolue en déchirure tendineuse. Si la lésion comprend quand même une déchirure focale de faisceaux de fibres, de multiples thérapies régénératives, telles que le plasma riche en plaquettes (PRP), le sérum autologue conditionné (ACS) et les cellules souches, sont disponibles pour moduler le travail des ténocytes et obtenir les ténocytes endogènes sur place. Ceci peut être combiné avec des thérapies de soutien telles que traitement par laser, ondes de choc, ultrasons, magnétisme etc. En présence de tendinopathies chroniques avec foyers dégénératifs, fibrose et calcifications, il n’y a que peu voire aucun espace pour réaliser une injection locale dans le tissu cicatriciel fibreux. En cas de pathologie de l’insertion du ligament suspenseur du boulet, on utilise par exemple les ondes de choc pour favoriser l’irrigation sanguine, stimuler les ténocytes et obtenir une analgésie. Dans certains cas, ces techniques ne permettent pas d’obtenir un résultat de longue durée. Pour ces cas chroniques, un traitement chirurgical est une option. Les techniques les plus connues sont le splitting et le needling du tendon. Une nouveauté dans le cadre du traitement chirurgical des tendons consiste à utiliser la technique Tenex : Ultrasound-guided Ultrasonic Tissue Debridement (débridement tissulaire par ultrasons sous échoguidage)
Préparation et réalisation d’un traitement Tenex échoguidé chez un cheval debout.
LA TECHNIQUE TENEX
Tenex est une technique de traitement développée il y a 5 ans aux États-Unis pour traiter des pathologies tendineuses chroniques chez l’être humain (atteinte chronique des tendons d’Achille, épine calcanéenne, dégénérescence du tendon rotulien, etc.). Cette technique utilise des ultrasons (comme pour un détartrage) afin de détruire le tissu endommagé et de stimuler ainsi le processus de cicatrisation pour offrir une nouvelle chance de guérison. La fréquence ultrasonore est spécifiquement choisie pour ne détruire que les tissus durs (fibrose et minéralisations) et ne pas causer de dommages au tissu tendineux sain. Le traitement par ultrasons est appliqué à l’aide d’une aiguille creuse dans un tube creux (cf. photo 8a). Durant le traitement, un flux de NaCl sort de l’aiguille creuse et est simultanément aspiré via le tube creux (cf. photos 8b et 8c). Cette solution aqueuse permet avant tout l’évacuation du tissu débridé mais aussi le refroidissement de l’aiguille qui chauffe fortement en raison des ultrasons.
L’aiguille étant introduite de manière échoguidée via des incisions de ponction dans la peau, ce traitement est mini-invasif. De ce fait, le patient récupère plus rapidement et nécessite peu de soins de plaie. Ceci permet aussi le positionnement exact de l’aiguille dans la zone dégénérative de la structure pathologique.
Chez le cheval, la technique peut être réalisée aussi bien sur patient debout (photos 7a, 7b et 2b) que sous anesthésie générale (photo 6). Chez le patient debout, il faut une asepsie stricte, une sédation adéquate par perfusion continue (CRI) et une anesthésie de la jambe afin de pouvoir travailler en toute sécurité. Lors d’interventions étendues, lors du traitement d’un membre postérieur ou en présence de patients dangereux par exemple, on optera dans certains cas pour un traitement sous anesthésie générale. Chez le chien, nous réalisons cette procédure sous forte sédation et avec une anesthésie locale adéquate de la peau, ou sous anesthésie générale. Après l’intervention, les ports d’accès sont refermés à l’aide d’un point simple ou d’une agrafe. Ces ports sont parfois tellement petits qu’il n’est pas nécessaire de les suturer.
Cette nouvelle intervention chirurgicale convient particulièrement pour les chevaux et les chiens souffrant de pathologies tendineuses ou tendinopathies dégénératives chroniques n’ayant pas répondu aux méthodes de traitement préalables par corticoïdes, agents biologiques, ondes de choc, laser, hydrothérapie, magnétisme, etc. Ces thérapies complémentaires peuvent à nouveau venir s’ajouter après le traitement par Tenex ou peuvent même être combinées au cours de cette même procédure (agents biologiques).
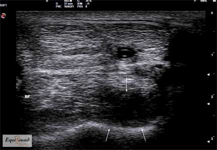
Image échographique en vue longitudinale de l’insertion proximale du suspenseur du boulet chez un cheval présentant une lésion dégénérative au niveau du lobe médial. (La région proximale est à gauche, la région distale à droite)
Image échographique en vue transversale de l’insertion proximale du suspenseur du boulet chez un cheval présentant une lésion dégénérative au niveau du lobe médial. (La région latérale est à gauche, la région médiale à droite)
Image échographique en vue longitudinale de l’insertion distale du tendon d’Achille chez un chien présentant une lésion dégénérative d’évolution chronique. (La région proximale est à gauche, la région distale à droite)
LES SOINS POSTINTERVENTIONNELS
Au cours des premières semaines qui suivent l’intervention, un bandage est nécessaire pour protéger les ports d’accès contre les infections. Après 12 jours, les éventuels points de suture sont retirés. Une période de revalidation de 3 à 9 mois doit être respectée et dépendra par exemple de la sévérité de la pathologie et de l’ampleur de l’intervention. Une longue période d’activité physique contrôlée, associée à des exercices, à de l’aquatraining et/ou à de la natation doit permettre une stimulation de la cicatrisation sans contrainte excessive. De cette manière, on peut également maintenir autant que possible, voire développer, la force de la musculature centrale de l’animal.
Clichés IRM (de gauche à droite : STIR en coupe transversale, GRE en reconstruction sagittale, PD en coupe transversale) d’un chien présentant une pathologie dégénérative chronique des fléchisseurs du carpe (fléchisseur ulnaire du carpe) où l’on peut observer un épaississement sévère du tendon qui présente un mélange d’intensités hétérogènes.
Clichés IRM (de gauche à droite : T1 en coupe transversale, T1 en reconstruction sagittale) d’un cheval présentant une desmopathie d’insertion dégénérative chronique. Hormis l’épaississement du lobe médial avec augmentation du signal T1 sur la face dorsale (fibrose), il y a chez ce cheval de nets signes de chronicité au niveau de la corticale palmaire du canon : une lésion au niveau de la face palmaire résultant de la pression chronique et une sclérose intramédullaire de la face dorsale.
CONCLUSIONS
Tenex est une nouvelle technique de traitement chirurgical mini-invasif, destinée aux chevaux et aux chiens souffrant de tendinopathies dégénératives chroniques. Grâce à des ultrasons et à une aspiration, le tissu cicatriciel chronique est débridé pour donner de nouvelles chances de guérison


